自分の重みに耐えられてないようです😅 - ひろ - 西荻窪 パブスナック・COCO
掲載店舗:3449店 女の子:44591人
- ポケパラ
- 東京 パブ/スナック
- 中野/西荻窪エリア パブ/スナック
- 西荻窪 パブ/スナック
- パブスナック COCO
- 女の子一覧
- ひろ(ヒロ)
- ブログ一覧
- 自分の重みに耐えられてないようです😅
パブスナック COCO (ココ)
西荻窪 パブ/スナック
東京都杉並区松庵3-38-14 尾崎ダイビルB1
TEL:03-3334-0958
★ |
★ |
★ |
自分の重みに耐えられてないようです😅
2025年01月15日 12時00分
基本
[正座]をするのが好きな私
お家では
朝起きて
部屋があったまるまで
ガスストーブの前で正座、
コタツでご飯を食べる時に正座
など、
様々な場面で
正座をしてるのですが
どうやら
そのせいで
足首の[靭帯]を痛めたらしい…
昨日
あまりの痛みに
『もしかして折れてる?』と
不安になり
病院に行ったら
ドクターに
『折れてはいませんが
外足靭帯に
負担がかかってるようです。
しばらく
正座をやめてみましょう』
と言われました
もともと
若い頃に
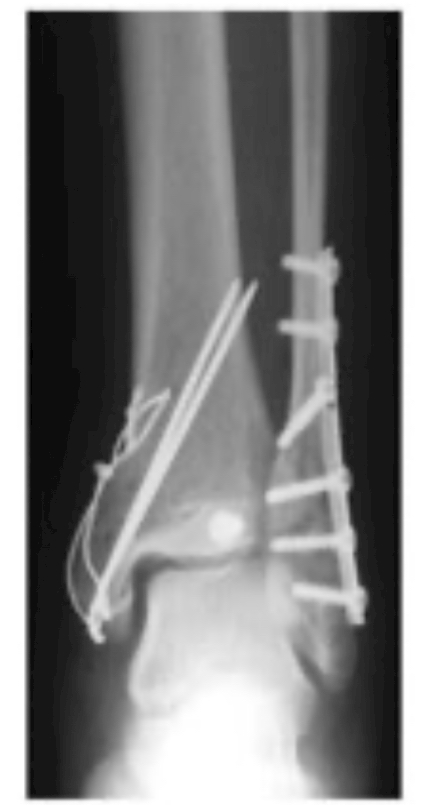
右足首の[くるぶし]を
粉砕骨折して
⬆︎
こんな処置をしてもらっていたので
足首自体
あんまり強くない
ヒールがない靴で歩けないのは
そのせい
調子こいて
長時間正座でいたら
靭帯が伸びきって
痛みで
歩けなくなってました💧
どうやら
体重が増えて
重くなったせいでもあるようです
しばらくは
⬆︎
サポーターが手放せません
って事で
真剣に
《ダイエット》を
考えなければならなくなりました
出来るのかな。。。
否、
出来るかどうかではなく
『やらなければ!』ですね😅
問題は
深夜メシだなぁ🤔
とりあえず
冷蔵庫の食材を使い切ってから
考えよう😄
本日もCOCOは
20時オープンです🕗
皆さまのご来店を
お待ちしております✨
プロフィール
名前:ひろ(ヒロ)
T158
肩書き:姉さん!
血液型:O型
出身地:青森県
お酒:普通
最近のブログ
-
本日COCOは日曜日の為お...
3月22日 9:00
スーパーイイネ!(2)イイネ!(17)コメント(0) -
3月21日(土)、ありがと...
3月22日 2:42
スーパーイイネ!(7)イイネ!(33)コメント(0) -
星座別[ラッキーアイテム]...
3月21日 12:00
スーパーイイネ!(9)イイネ!(63)コメント(0) -
【中国爆食滞在日記】交通事...
3月21日 2:00
スーパーイイネ!(10)イイネ!(37)コメント(0) -
本日COCOは【春分の日】...
3月20日 12:00
スーパーイイネ!(4)イイネ!(58)コメント(0) -
3月19日(木)、ありがと...
3月20日 8:00
スーパーイイネ!(4)イイネ!(24)コメント(0) -
[哨戒艦]なのに攻撃力高め...
3月19日 12:00
スーパーイイネ!(11)イイネ!(58)コメント(0) -
3月18日(水)、ありがと...
3月19日 2:53
スーパーイイネ!(8)イイネ!(46)コメント(0) -
『コガネ!この展示した店員...
3月18日 12:00
スーパーイイネ!(11)イイネ!(68)コメント(0) -
3月17日(火)、ありがと...
3月18日 7:33
スーパーイイネ!(4)イイネ!(30)コメント(0)
過去のブログ
ゲットしたラッキーNo.
| 10( ᐢ. ̫ .ᐢ )っ💖 |
|
| 彼シャツ♡՞݂ɞ̴̶̷ ·̥ ɞ̴̶̷՞݂♡ | |
![]() |
みみ【池袋しゃいん】さん
[池袋東口] しゃいん
|
| H |
|
| 141🦋2026-03-20③ 春分の日🌸 | |
![]() |
Nちゃん ꕤ*.゚❤︎さん
[名古屋 大曽根] with
|
| 88人目のイイネ! ありがとう♡ |
|
| 3/20 ♧お休みです 口唇ヘルペス🤦 | |
![]() |
由佳子オーナーママ 🐉志安 Shi an 🦚さん
[北新地] 志安Shian
|
>>もっと見る
関連エリアの情報: 東京のパブ/スナック|中野/西荻窪エリアのパブ/スナック|西荻窪のパブ/スナック|西荻窪駅のパブ/スナック































